Comunicati Stampa 08 lug 2025

Pronto Soccorso, “trasloco” nei locali riqualificati

Da domani accesso dall'ingresso principale. I lavori proseguiranno nell’area occupata finora

Comunicati Stampa 04 lug 2025

Lavori alla viabilità e rifunzionalizzazione del Pronto Soccorso

In corso interventi alla circolazione: dall'area del PS ed F3 possibile accedere verso i padiglioni

Comunicati Stampa 01 lug 2025

Tumore al polmone, gli esiti del programma RISP

Diagnosticati tumori e inviati pazienti ai centri antifumo. Screening verso la conclusione

Comunicati Stampa 20 giu 2025

Si gira in Ospedale "Vanina - Un vicequestore a Catania"

Da lunedì modifiche alla sosta in alcuni parcheggi

Comunicati Stampa 09 giu 2025

Anna Valle ringrazia la Senologia per l'assistenza alla madre

«Empatia e professionalità di tutta l’équipe». La testimonianza dell'attrice in veste di care giver

Comunicati Stampa 23 mag 2025

Donazione sangue, il “messaggio” di tre giornate straordinarie

In adesione al decreto del Presidente della Regione, la Medicina Trasfusionale potenzia le attività il 23 maggio, 19 luglio e 21 settembre

Comunicati Stampa 14 mag 2025

Sopralluogo nel nuovo PS: in programma gli ultimi collaudi

Con la Direzione Strategica, il direttore generale del DRPS Iacolino e il presidente della Commissione Sanità dell'ARS Laccoto

Comunicati Stampa 22 apr 2025

Nuovo colorato murales in Pediatria

Una "sorpresa" di Pasqua con animazione di supereroi

Comunicati Stampa 11 apr 2025

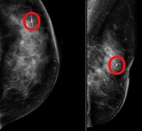
Senologia, “radar” individua lesioni tumorali impalpabili

L'innovativa metodica guida i chirurghi in sala operatoria e permette di avere una cicatrice meno evidente

Gruppo USU
Comunicati Stampa 01 apr 2025

Giornata della persona con lesione midollare

Venerdì 4 aprile, maratona attorno all'Unità Spinale e videocollegamento con Roma

Comunicati Stampa 05 mar 2025

Incontro con il prof. Paolo Scollo, Rettore della "Kore"

Proficua sinergia tra Azienda Ospedaliera e Università di Enna

Elettroporazione
Comunicati Stampa 04 feb 2025

Elettroporazione, innovativo sistema per la cura delle aritmie cardiache

Metodica di "ablazione" più sicura ed efficace utilizzata dalla Cardiologia per la prima volta in Sicilia